Hírek
2016. Május 02. 13:56, hétfő |
Belföld
Forrás: mti
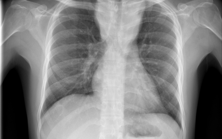
Terjed a tbc Szatymazon?
Hétfő reggel óta tbc-tesztet végeznek el a gyerekeken egy szatymazi általános iskolában, ahol egy hete fertőző tüdőbetegségben halt meg egy korábban ott dolgozó nő - közölték az M1 aktuális csatorna déli Híradójában.
A Délmagyar hírportál hétfő reggel írt arról, hogy februárig dolgozott a szatymazi iskolában közmunkásként az nő, aki tuberkulózisban (tbc) halt meg egy hete. Az ügyben rendkívüli szülői értekezletet tartottak. Az általános iskola 260 tanulója közül szülői beleegyezéssel 250-en végzik el a tbc-tesztet.
Az M1 tudósítója a helyszínről azt mondta: több szülővel beszéltek, ők nem voltak megriadva; elmondták, hogy az iskola azonnal tájékoztatta őket arról, mi történt a nővel, aki takarítóként dolgozott az iskolában február végéig. A tudósító megjegyezte, a tbc tüneteinek lappangási ideje 28-30 nap, ez az idő már letelt, de egyetlen gyereken sem tapasztaltak egyetlen tünetet sem.
Felidézték, hogy Magyarországon 1954 óta kötelező a tbc elleni védőoltás. Most az iskola diákjain biztonsági intézkedésként végzik el az úgynevezett Mantoux-tesztet, amely kimutatja, hogy védettek-e a tbc ellen. Ezt a tesztet később, három és hat nap múlva is megismétlik - hangzott el a Híradóban.
Április elején egy debreceni óvodában volt szükség hasonló intézkedésekre, mert az intézmény egyik dolgozója tüdőtuberkulózissal fertőződött meg.
Ezek érdekelhetnek még
2026. Április 30. 11:00, csütörtök | Belföld
Telex - Orbán Viktor: liberális kormányzás és nemzeti ellenzék időszaka kezdődik
A választással a 16 évig tartó nemzeti kormányzás korszaka lezárult, egy új időszak, a liberális kormányzás és a nemzeti ellenzék időszaka kezdődik
2026. Április 30. 11:00, csütörtök | Belföld
Magyar Péter: hasznos és konstruktív megbeszélést folytattam António Costával, az Európai Tanács elnökével
Hasznos és konstruktív megbeszélést folytattam António Costával, az Európai Tanács elnökével - közölte Magyar Péter, a Tisza Párt elnöke, miniszterelnök-jelölt szerdán este a Facebook-oldalán.
2026. Április 30. 07:25, csütörtök | Belföld
Magyar Péter: hamarosan érkeznek az uniós források
Hamarosan érkeznek az európai uniós források Magyarországra - közölte Magyar Péter leendő miniszterelnök, miután egyeztetett Ursula von der Leyennel, az Európai Bizottság elnökével szerdán Brüsszelben.
2026. Április 29. 13:00, szerda | Belföld
Kamatdöntés - Varga Mihály: egyhangúlag döntött a monetáris tanács az alapkamat szinten tartásáról
Egyhangúlag és egyetlen napirendi javaslatként döntött a Magyar Nemzeti Bank (MNB) Monetáris Tanácsa az alapkamat szinten tartásáról

