Hírek
2018. November 05. 09:54, hétfő |
Külföld
Forrás: mti - illusztráció
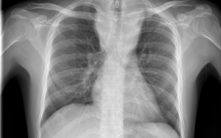
Tüdőrákban halt meg egy szervátültetett, aki egy erős dohányos tüdejét kapta meg
Tüdőrákban halt meg a transzplantáció után másfél évvel egy francia nő, akibe egy hajdan erős dohányos nő tüdejét ültették át.
A Lunc Cancer szakfolyóiratban megjelent tanulmány szerint az 57 évesen elhunyt donor 30 éven át napi egy doboz cigarettát szívott el.
A gyermekkora óta cisztás fibrózisban szenvedő páciens 2015 novemberében kapta meg a sokáig erősen dohányzó nő tüdejét, 2017 júniusában pedig bekerült a montpellier-i egyetemi klinikára, ahol két hónappal később elhunyt tüdőrákban, anélkül, hogy bármiféle terápiát alkalmazhattak volna nála. A tanulmány szerint a páciens a dohányzás okozta tüdőrák jellegzetes tüneteit mutatta.
A transzplantáció és a tüdő első rendellenességeinek röntgen általi észlelése közti rövid idő arra utal, hogy a tüdőrák már a donornál keletkezett, a szervkilökődés megakadályozására szedett immungyengítő gyógyszerek pedig csak felgyorsították a kifejlődését.
A tüdőrák hosszú lappangási idejére tekintettel a kutatók különleges elővigyázatosságot ajánlanak a dohányzó donoroktól származó szervek átültetésénél olyan esetekben, amikor a donor csak nem sokkal a transzplantáció előtt hagyott fel a dohányzással.
Ezek érdekelhetnek még
2026. Május 02. 14:00, szombat | Külföld
Londoni elemzők: középtávon csökkenti az olajárakat az Egyesült Arab Emírségek kilépése az OPEC-ből
Londoni iparági elemzők szerint középtávon csökkenti a világpiaci olajárakat az Egyesült Arab Emírségek kilépése a Kőolajexportáló Országok Szervezetéből (OPEC) és a bővebb OPEC+ szerveződésből.
2026. Május 02. 10:00, szombat | Külföld
Iráni konfliktus - Donald Trump megszűntnek nyilvánította az Iránnal folytatott fegyveres harcot
Donald Trump megszűntnek nyilvánította az Iránnal folytatott \"fegyveres harcot\" pénteken a Kongresszusnak küldött levelében.
2026. Április 30. 15:00, csütörtök | Külföld
Ukrajnai háború - Donald Trump szerint akár hamarosan lehet megoldás az ukrajnai háború lezárására
2026. Április 27. 15:00, hétfő | Külföld
Több fegyverrel szerelte fel magát az a férfi, aki a Donald Trump részvételével tartott díszvacsora helyszínén nyitott tüzet
Több fegyverrel szerelte fel magát az a férfi, aki a Donald Trump elnök részvételével tartott díszvacsora helyszínén tüzet nyitott szombaton egy washingtoni szálloda bálterménél.

